27.03M
Category: biologybiology

Ткани внутренней среды

1.

Все ткани внутренней среды характеризуются рядом особенностей строения:
- удаленность клеток друг от друга,
- отсутствие межклеточных контактов,
- много межклеточного вещества,
- развитие из мезенхимы

2.

Эритроциты
и
тромбоциты

3.

Строение тромбоцита
А - горизонтальный срез; Б - поперечный срез.
1 - плазмолемма; 2 - открытая система каналов; 3 - актиновые филаменты; 4 - циркулярные пучки микротрубочек;
4а - микротрубочки в поперечном разрезе; 5 - плотная тубулярная система; 6 - a-гранулы; 7 - d-гранулы; 8 митохондрии; 9 - гранулы гликогена; 10 - гранулы ферритина; 11 - лизосомы; 12 - пероксисомы.

4.

Плазмолемма эритроцита.
1-плазмолемма, 2- белок полосы 3, 3- гликофорин, 4- спектрин, 5- анкирин,
6- белок полосы 4.1, 7- актин.

5.

Лейкоцитарная формула
Лейкоциты
Агранулоциты
Лимфоциты
19-37%
Гранулоциты
Моноциты
3-11%
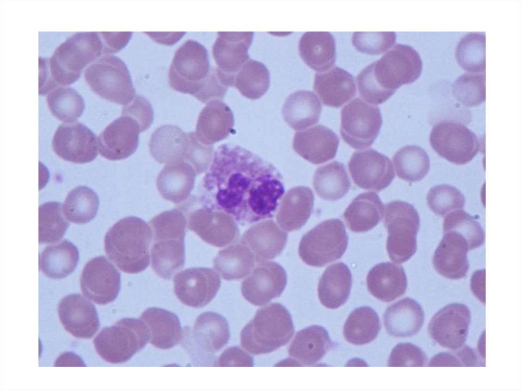
Нейтрофилы
48-78%
Юные
0-0.5%
Палочкоядерные
1-6%
Эозинофилы
0.5-5%
Сегментоядерные
47-72%
Базофилы
0-1%

6.

Cтроение гранулоцитов
А
Б
В
А — сегментоядерный нейтрофил; Б — эозинофил; В – базофил:
1 — сегменты ядра; 2 — тельце полового хроматина; 3 — первичные (азурофильные) гранулы; 4 —
вторичные (специфические) гранулы; 5 — зрелые специфические гранулы эозинофила, содержащие
кристаллоиды; 6 — гранулы базофила различной величины и плотности; 7 — периферическая зона, не
содержащая органелл; 8 — микроворсинки и псевдоподии.

7.

• Базофил
• Эозинофил
• Нейтрофил

8.

Строение агранулоцитов
А — лимфоцит; Б — моноцит: 1 —ядро; 2 —микроворсинки

9.

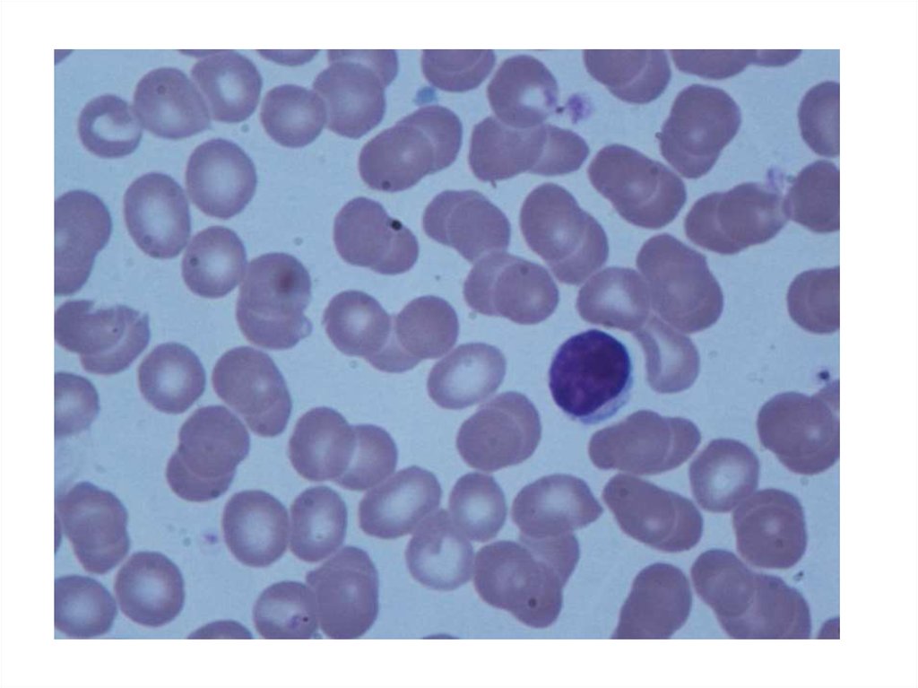
Лимфоциты: малый и большой
Моноцит

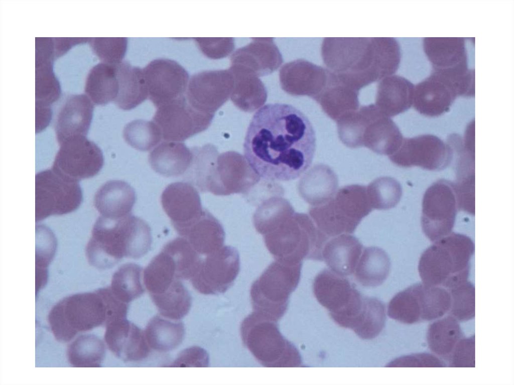
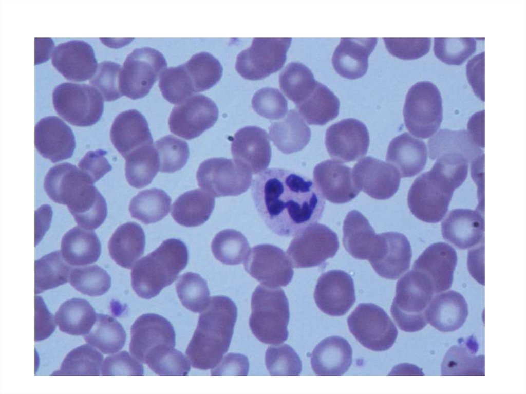
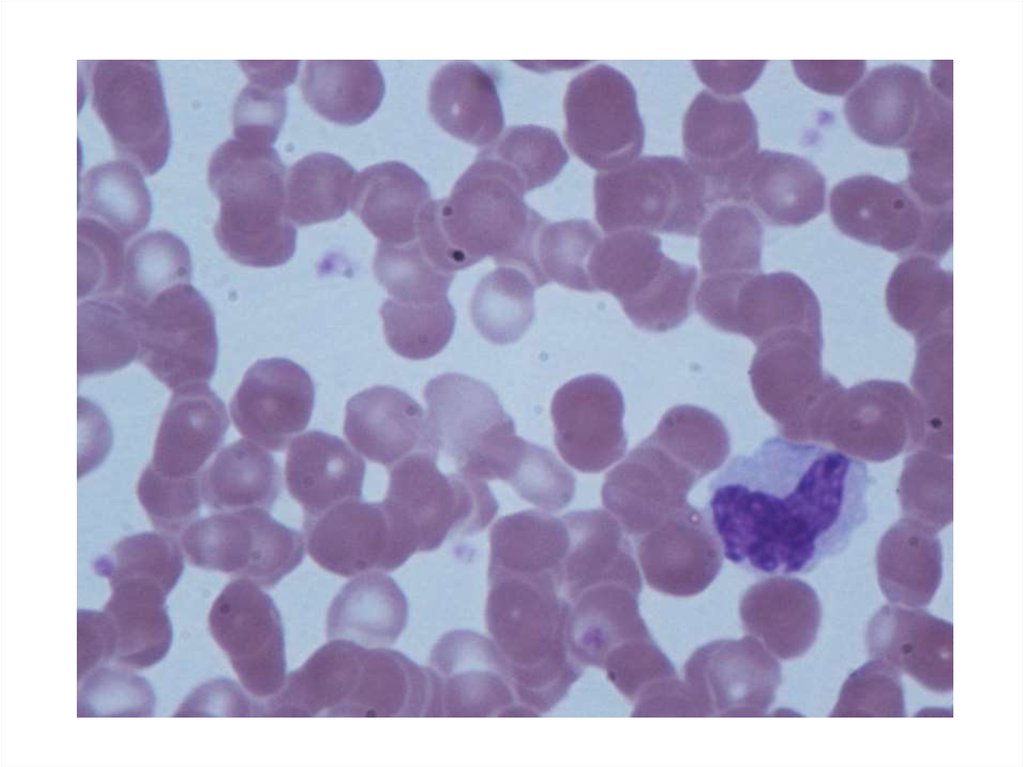
10.

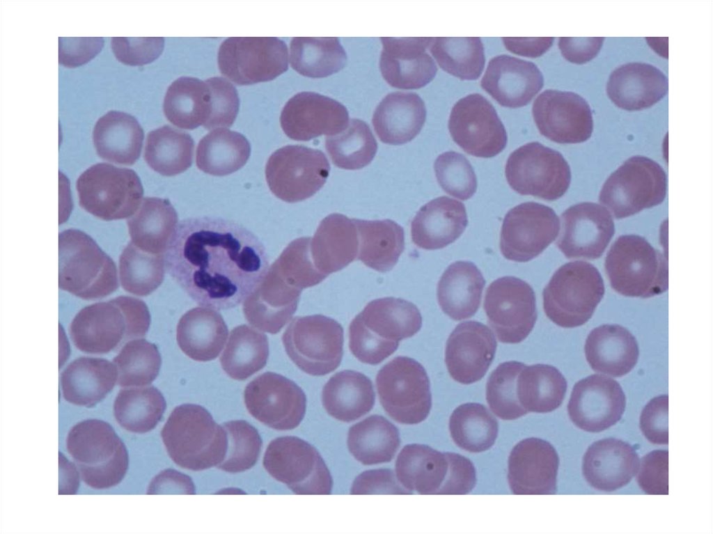
Нейтрофил

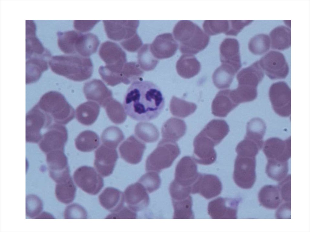
11.

Эозинофил

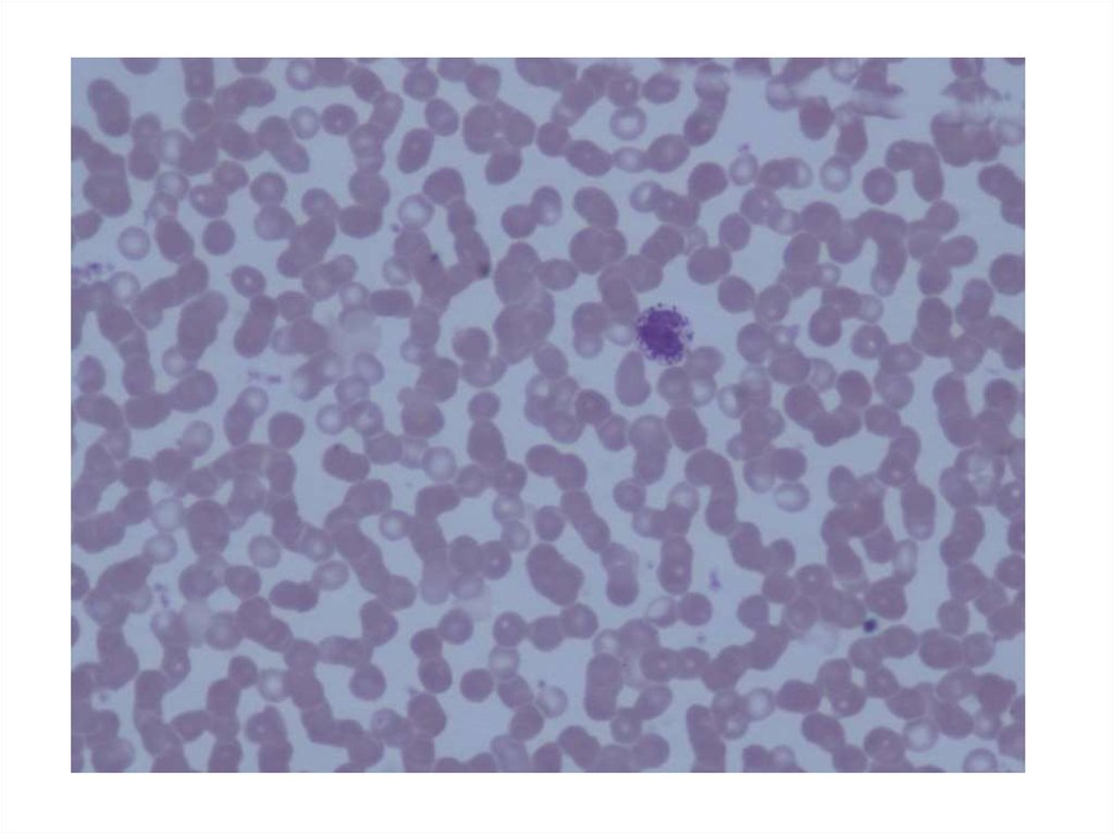
12.

Базофил

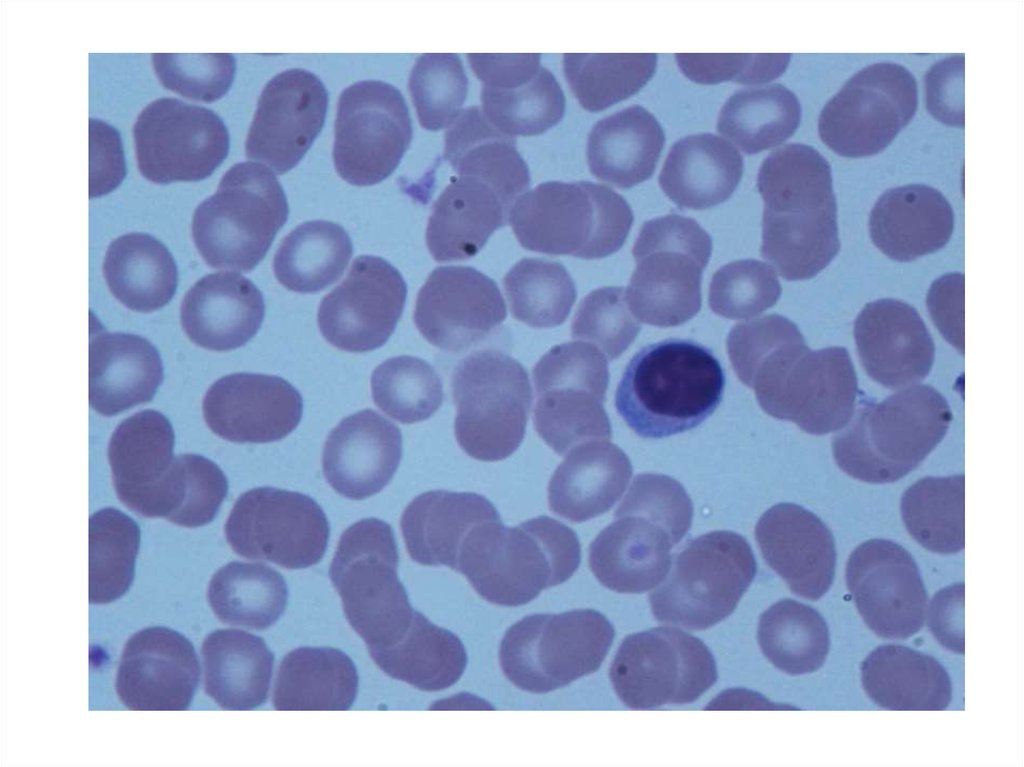
13.

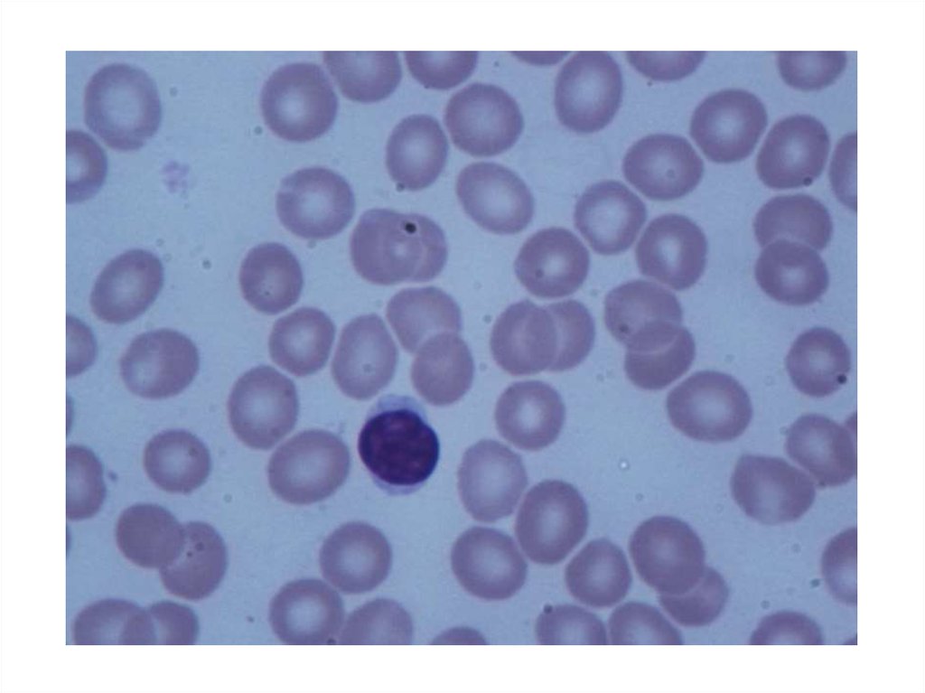
Лимфоцит

14.

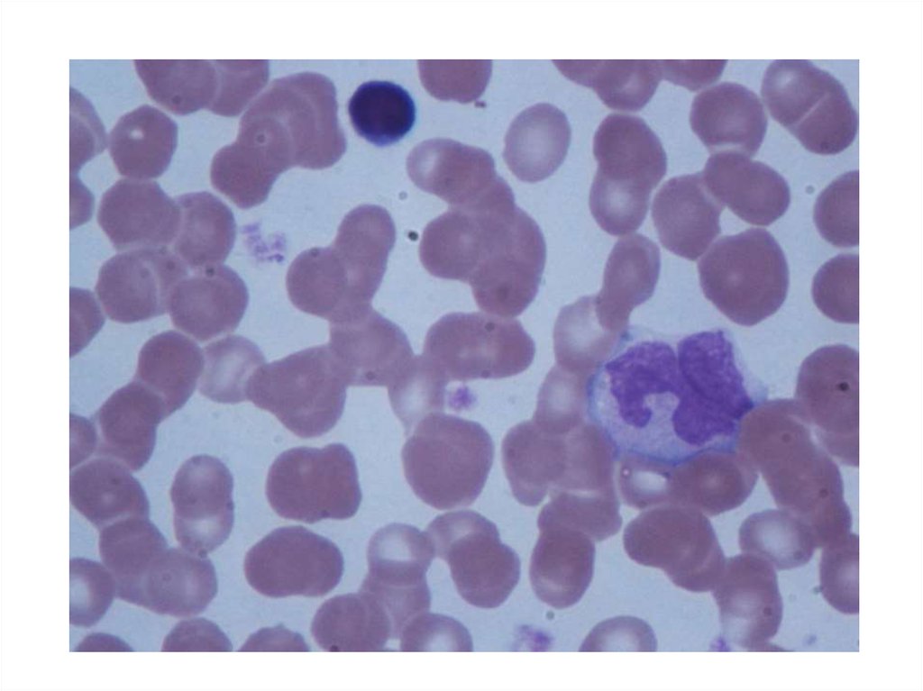
Моноцит

15.


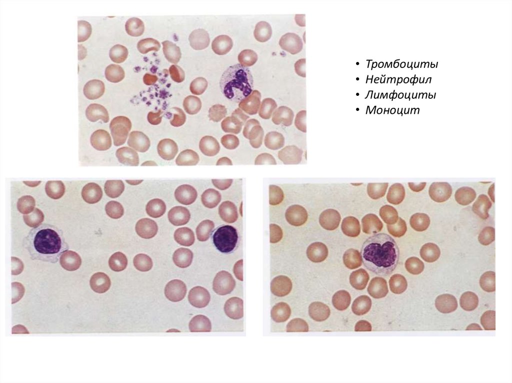
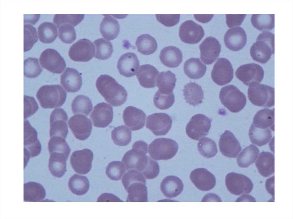
Тромбоциты
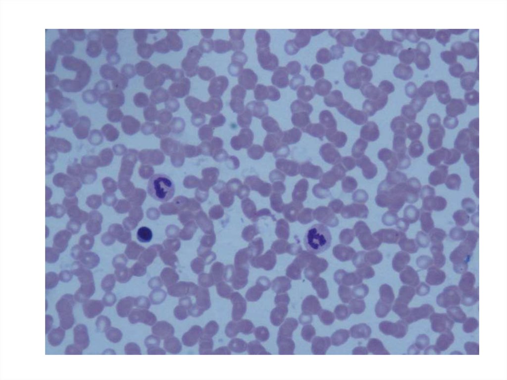
Нейтрофил
Лимфоциты
Моноцит

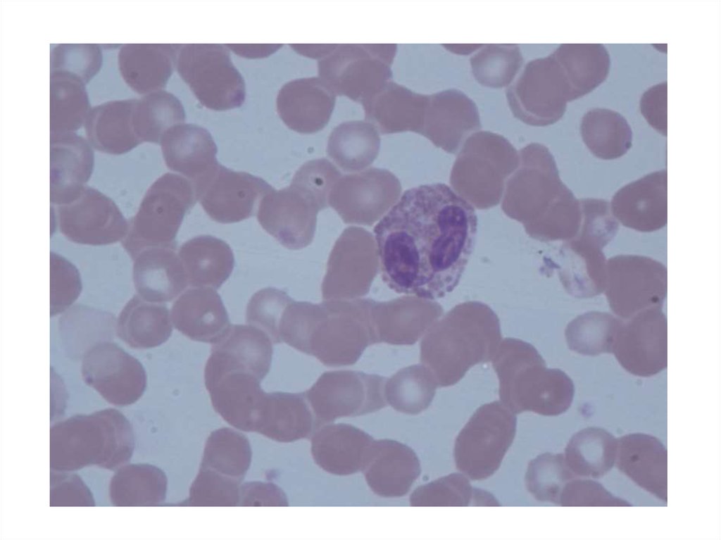
16.


Базофил
Нейтрофил
Лимфоцит
Эозинофил

17.

18.

19.

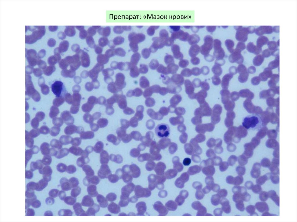
Препарат: «Мазок крови»
English     Русский Rules