6.16M

Отдел лабораторной диагностики

1.

Отдел лабораторной
диагностики

2.

Наши специалисты проводят большинство
стандартных исследований

3.

• Биохимический и
клинический анализ крови
• Цитологическое
исследование
• Общий и расширенный
анализы мочи

4.

Кроме этого, полгода назад в нашем арсенале появился
прибор для определения электролитов крови, который есть
не в каждой лаборатории.

5.

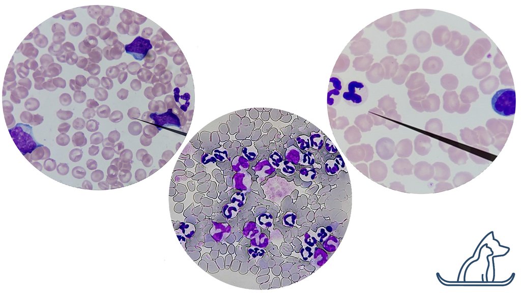
Но нашим "коньком" всегда остается
морфология.

6.

Мы проводим цитологические исследования:
• Пунктатов
• Лимфоузлов любых локализаций, включая
висцеральные ( полостные ).
• Инцизионного и эксцизионного материала из опухолевых и не

7.

Нам доступно цитологическое исследование осадка
выпотов и мочи, а так же микроскопия нативных смывов
или окрашенных цитологических препаратов из прямой
кишки.

8.

Мы развиваемся чтобы предоставлять
вам качественную услугу.

9.

10.

11.

12.

Здоровья вам и вашим любимым
питомцам!
English     Русский Rules