10.24M
Category: biologybiology

Трансгенные растения

1.

2.

Что нужно, чтобы получить
трансгенное растение?

3.

Чужеродная ДНК должна проникнуть в клетку
«Избавление» от клеточной стенки

4.

Бомбардировка клеток

5.

Использование потенциала фитопатогенов

6.

Нужно чтобы целевой участок ДНК:
Встроился в геном
Экспрессировался (чтобы генетическая
информация считывалась)

7.

Чужеродные гены находятся в составе
векторных плазмид

8.

Введение векторных конструкций в клетки
растений
Станет ли после этого растение трансгенным?

9.

Регенерация
целых растений из
отдельных
трансформирован
ных клеток

10.

Основной подход для создания
трансгенных растений

11.

Корончатые галлы

12.

Корончатые галлы

13.

Agrobacterium tumifaciens

14.

Agrobacterium tumifaciens

15.

Интеграция тДНК в геном растения

16.

Модификация Ti – плазмиды для создания
трансгенных растений

17.

Модификация Ti – плазмиды для создания
трансгенных растений
Ген, который хотят
встроить
Селективный
маркер

18.

Бинарный вектор

19.

20.

Введение векторных конструкций в клетки
растений

21.

Регенерация целых растений из отдельных
трансформированных клеток

22.

Модификация Ti – плазмиды для создания
трансгенных растений
Ген, который хотят
встроить
Селективный
маркер

23.

Откуда берут целевой фрагмент ДНК,
который хотят встроить в
растительный геном?

24.

25.

ПЦР (полимеразная цепная
реакция) – метод
селективной амплификации
участка ДНК in vitro

26.

Компоненты реакции:
Вода
Буфер для фермента (Taqполимеразы)
Дезоксинуклеотид фосфаты
Праймеры (прямой и обратный)
Фермент (Taq-полимераза)
ДНК-матрица

27.

28.

29.

30.

31.

32.

Конструирование праймеров

33.

34.

35.

36.

37.

38.

39.

Характеристики праймеров
Комплементарность мишени
Высокое GC содержание
На 3’-конце праймера G или С
Температура отжига 55-60° С
Отсутствие вторичных структур (шпилек и димеров)

40.

41.

42.

BLAST

43.

44.

Что обычно используется в качестве матрицы
(основы) для амплификации «нужного» участка
ДНК?

45.

46.

47.

48.

Мы провели ПЦР, чтобы получить целевой фрагмент ДНК
Нужно выяснить получился ли у нас ожидаемый продукт
Электрофорез

49.

Электрофоретическое
разделение нуклеиновых кислот

50.

Электрофорез ДНК в агарозном геле

51.

Электрофорез белков

52.

Разделение молекул в электрическом поле

53.

Разделение макромолекул в
зависимости от:
размера,
пространственной конфигурации,
электрического заряда

54.

Разделение проводят в полиакриламидном геле
Акриламид
(СН2 = СН — CONH2)
NN'-Метиленбисакриламид
(CH2 = CH — CONH)2 – СН2
Буферные растворы

55.

Индукция полимеризации акриламида
Персульфат аммония

56.

Полимеризация акриламида

57.

Катализатор процесса полимеризации
Тетраметилэтилендиамин (ТЕМЕД) — (СН3)2N — CH2 — CH2 — N(СН3)2

58.

Денатурация белка с помощью ДДС

59.

60.

61.

Постоянная сила тока
Высокая напряженность
Низкая напряженность
Подвижность ионов
Заряд ионов
Изоэлектрическая точка

62.

Глицин – малоподвижный ион. Высокое
сопротивление. Высокая напряженность
Б
Хлор – подвижный ион. Низкое сопротивление.
Низкая напряженность
Одинаковая сила тока
А
Суммарное напряжение распределится между участками А и Б так, что
напряженность поля А будет выше, причем настолько, чтобы скорость
миграции ионов глицина стала точно такой же как у ионов хлора. Этого
требует условие неизменности величины тока вдоль всего геля
(постоянство тока во всем геле).

63.

64.

Двумерный электрофорез белков

65.

66.

67.

Векторные конструкции

68.

Рестриктазы

69.

Сборка плазмиды. Рестрикция-лигирование.

70.

71.

Векторы для клонирования
X-Gal

72.

73.

Векторы для экспрессии

74.

75.

76.

Лизис клеток

77.

Очистка целевого белка
Хроматография

78.

79.

80.

81.

82.

83.

Векторы для трансформации растений

84.

85.

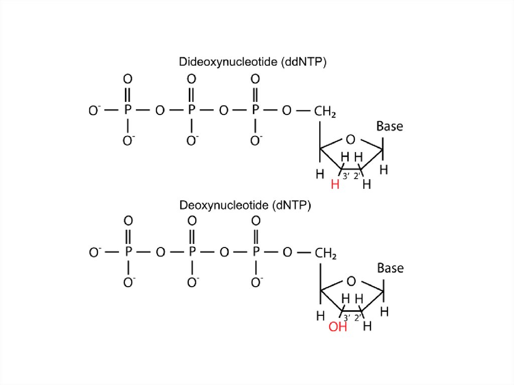
Определение первичной структуры ДНК

86.

87.

88.

89.

90.

ATGCTAC
TACGATG
ATGCTAC
TACGATG
ATGCTAC
TACGATG
ATGCTAC
TACGATG
ATGCTAC
TACGATG
ATGCTAC
TACGATG
ATGCTAC
TACGATG
TACGATG
A*
TACGATG
TACGATG
AT*
TACGATG
TACGATG
ATG*
TACGATG
Денатурация,
отжиг праймера
Элонгация
TACGATG
ATGC*
TACGATG
TACGATG
ATGCT*
TACGATG
TACGATG
ATGCTA*
TACGATG
TACGATG
ATGCTAC*
TACGATG

91.

92.

93.

A*
TACGATG
AT*
TACGATG
A T
ATG*
TACGATG
ATGC*
TACGATG
ATGCT*
TACGATG
ATGCTA*
TACGATG
ATGCTAC*
TACGATG
Капиллярный
электрофорез
C
A
T
C
G
T
A
Анализ
G
C T
A
С
English     Русский Rules